Саратовские врачи чудом спасли бойца СВО с осколочным ранением
11:08, 15 февраля 2024
Врачи саратовского кардиоодиспансера прооперировали бойца специальной военной операции с тяжелым ранением аорты. Об этом сообщили в телеграм-канале медучреждения.
На прошлой неделе заведующий отделения, сердечно-сосудистый хирург Александр Толкачев прибыл на экстренную ночную консультацию к пациенту. В помощи нуждался житель Якутии, который получил сочетанное минно-взрывное ранение головы, шеи, груди и конечностей при выполнении боевой задачи в зоне спецоперации.
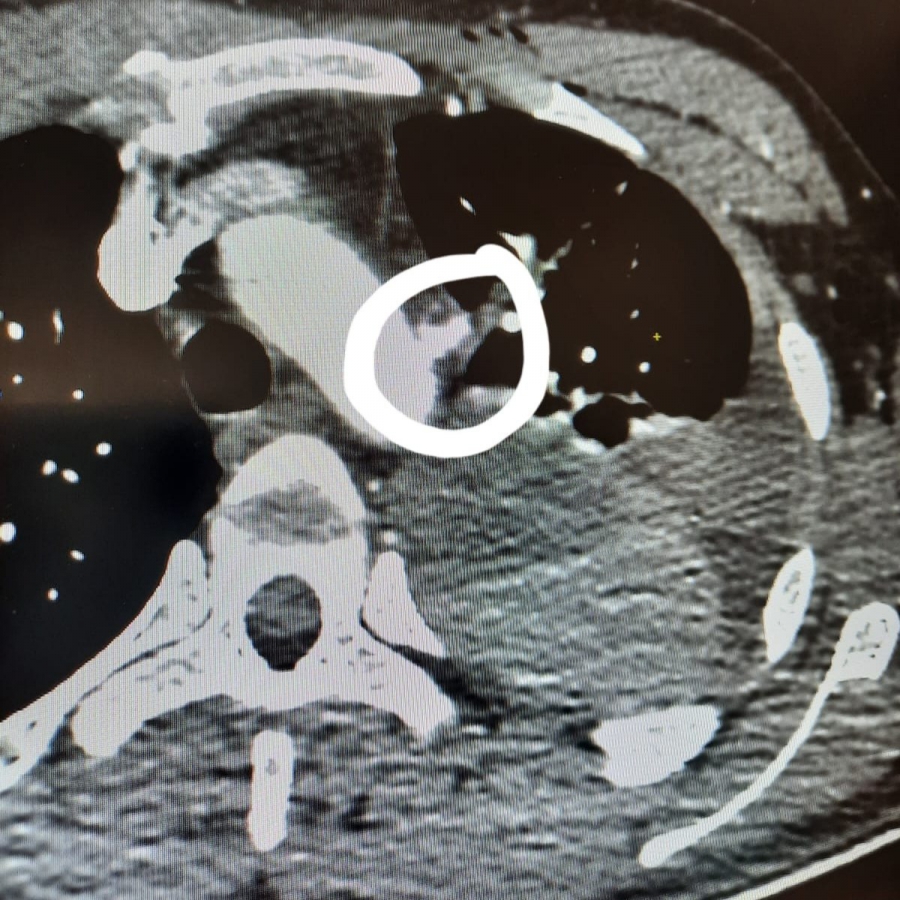
В реанимации мужчина оказался с повторным обширным гемотораксом (накопление крови в плевральной полости, резкое сокращение объема циркулирующей крови при кровопотере). К массированному кровотечению привело осколочное проникающее ранение грудной клетки. Осколок затронул аорту ниже отхождения левой подключичной артерии. С учетом такого расположения, а также угрозы развития летального кровотечения пациента немедленно транспортировали в диспансер.
Военному провели операцию по ушиванию дефекта нисходящей аорты. Команде хирургов удалось избежать искусственного кровообращения и полного рассечения грудной клетки.
«Угрожающие жизни пациента сгустки крови в плевральной полости его же и «спасали». Они «прижимали» основной дефект, сдерживая дальнейшее кровотечение. Способствовало этому и анатомическое расположение дефекта», - отметили врачи.
«В плевральной полости было обнаружено большое количество сгустков, мы их удалили и визуализировали нисходящую аорту. На расстоянии около 1 см от левой подключичной артерии обнаружили выступающий участок измененной стенки аорты с дефектом, края которого были рыхло адгезированы (сцеплены) между собой. Выполнили ушивание дефекта, дренировали левую плевральную полость, остановили кровопотерю», - рассказал Александр Толкачев.
Послеоперационный период прошел без осложнений, пациента в стабильном состоянии перевели в областную клиническую больницу для дальнейшего лечения.
- 1 В СУ СК проверяют заявление саратовчанки об афере с выплатами участнику СВО
- 2 На Большой Горной меняется схема движения
- 3 Саратовский железнодорожный вокзал планируют достроить в этом году
- 4 Новый мост возле ж/д вокзала в Саратове будет иметь 10 эскалаторов и 8 лифтов
- 5 Пенсионный изгой из Базарного Карабулака
- 1 Канал Вячеслава Володина в мессенджере «Макс» включили в реестр Роскомнадзора
- 2 Маршрут автобуса №9А кардинально изменится с 11 апреля
- 3 Тысячи саратовцев остались без холодной воды из-за аварии в ЖК «Царицынский»
- 4 Бизнес-дума. Такая гордума нам не нужна!
- 5 Многодетным семьям в Саратове компенсируют расходы на обустройство водоотведения











