Двое парней сломали ребра жителю Энгельса
10:59, 17 июня 2013
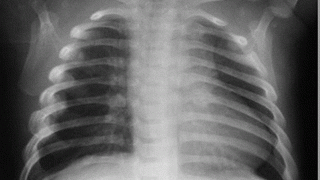
По факту избиения 49-летнего жителя Энгельса Саратовской области возбуждено уголовное дело.
Инцидент произошел в минувшую субботу около 6.00. Пострадавшего доставили из дома по улице Полтавская в 1-ю горбольницу. Ему диагностировали – множественные переломы ребер.
Пациент рассказал, что на него напали двое парней. Вскоре их задержали сотрудники полиции – злоумышленникам 18 лет. Один из них ранее привлекался к уголовной ответственности.
- 1 Под Пугачевом возбудили дело об истязаниях девочки после ее гибели из-за кипятка
- 2 Руководить саратовским управлением казначейства назначили Веру Мартьянову
- 3 Суды в очередной раз подтвердили законность возведения школы в Молодежном
- 4 У 10 тысяч жителей Саратовской области выявили рак за 2025 год
- 5 Семейный дуэт прыгунов в воду выиграл медаль домашнего Кубка России
- 1 В топ-500 богатейших людей мира попал миллиардер из Саратова
- 2 В Саратовской области внедрят оплату проезда в автобусах через «Яндекс Go»
- 3 Шоумен из Саратова Илья Яббаров подвергся критике за оскорбление жен бойцов СВО
- 4 Под Саратовом супруги пытались дать 2 млн рублей за зачисление сына в училище
- 5 После оттепели и сильных снегопадов в Саратовскую область вернутся морозы до -28








